El deporte es beneficioso para la salud cardiovascular. Sin embargo, en ocasiones los medios de comunicación llaman nuestra atención cuando informan sobre la muerte súbita de un deportista mientras practica ejercicio.
La mayoría de estos episodios ocurren como consecuencia de un trastorno en el ritmo normal del corazón y, de hecho, la mayoría de estos casos se podrían haber evitado si se hubiese realizado previamente un correcto diagnóstico de la enfermedad cardiaca subyacente.
A pesar de que la muerte súbita es poco frecuente, practicar ejercicio físico aumenta el riesgo de padecerla, sobre todo en personas con una enfermedad del corazón no diagnosticada.
La cardiología deportiva se fundamenta en la detección de enfermedades del corazón que pueden suponer un riesgo para la práctica del deporte. Además, esta especialidad analiza cual es la adaptación del corazón a la práctica continuada e intensiva de ejercicio físico.
En CARDIOLOGIA DEPORTIVA-REMA está constituida por un grupo de cardiólogos del más alto nivel, dedicados al diagnóstico de las enfermedades del corazón mediante pruebas no invasivas, y al tratamiento y la prevención de los trastornos del ritmo cardiaco, incluyendo la muerte súbita.
Desde REMA ofrecemos un servicio de valoración cardiológica integral, enfocado a evaluar el riesgo cardiológico para la práctica segura de la actividad deportiva desde los niños a adultos.
¿En que consiste la valoración cardiológica integral?
El primer punto es la ENTREVISTA PERSONAL, en la que los cardiólogos se centran en los factores de riesgo cardiovascular y los antecedentes personales y familiares, principalmente en antecedentes de muerte súbita familiar.
En segundo lugar se realizan las pruebas complementarias:
- ELECTROCARDIOGRAMA: prueba básica de la cardiología, que entre otras cosas permite detectar la existencia de enfermedades que pueden provocar una muerte súbita
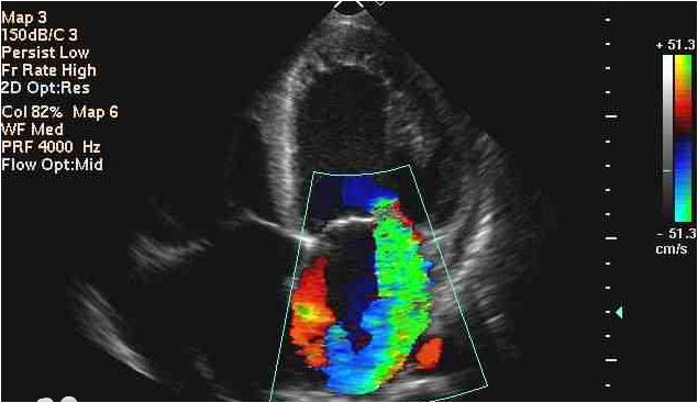
- ECOCARDIOGRAFÍA: Nos mostrará la morfología y el funcionamiento del músculo y las válvulas cardíacas para descartar enfermedades que supongan un riesgo para la práctica del deporte. Prueba muy recomendable en un estudio inicial de cualquier deportista
- PRUEBA DE ESFUERZO CON GASES:
Estudia de forma no invasiva la fisiopatología de los sistemas respiratorio y cardiovascular en condiciones de estrés físico, evaluando objetivamente el grado de limitación funcional y su mecanismo. En la ergoespirometría valoramos parámetros que nos indican la capacidad funcional del deportista y que nos permiten controlar su evolución en distintos momentos de la temporada pudiendo de esta forma disponer de herramientas para individualizar el entrenamiento.En las pruebas de esfuerzo valoramos además si la respuesta al ejercicio es fisiológica o presenta alguna alteración patológica que pudiera en algún caso limitar o contraindicar la práctica deportiva.En las pruebas de esfuerzo a deportistas el análisis directo de gases (la medición del oxígeno consumido y el dióxido de carbono eliminado) permite una determinación exacta del consumo máximo de oxígeno y la detección precisa de los umbrales aeróbico y anaeróbico
Para cualquier duda o aclaración, contacta con nosotros en REMA-Cardiologia Deportiva (Denia. Alicante).
Teléfono: 96 642 24 31
www.remasalud.com
email: info@remasalud.com
Pol. Ind. San Carlos Sur, 8
Apdo. de correos 488
03700 Dénia
Autor:
Dr. Alfonso Valle
@ValleAlfonso
Teléfono: 96 642 24 31
www.remasalud.com
email: info@remasalud.com
Pol. Ind. San Carlos Sur, 8
Apdo. de correos 488
03700 Dénia
Autor:
Dr. Alfonso Valle
@ValleAlfonso

